Next Lesson - Conditions of the Arm
Core
Want more information on anatomy before you begin looking at conditions? Head to our articles on Bones of the Upper Limb and Muscles of the Shoulder for more information!
Shoulder dislocations occur when the humeral head is displaced from articulating with the glenoid fossa, and can be divided into three categories: anterior, posterior and inferior dislocations.
Anterior dislocations are the most common - they make up around 90-95% of all shoulder dislocations. Anterior dislocations are usually caused by a blow to the posterior shoulder or by the arm being pushed posteriorly when the hand is placed behind the head, pushing the humeral head anteriorly to the glenoid fossa. They present with an externally rotated and abducted arm.
Posterior dislocations are far less common and are caused by epileptic seizures, electrocution, lightning strikes or a blow to the anterior shoulder, pushing the humeral head posteriorly. They present with an internally rotated and adducted arm, often with limited external rotation. Obvious shoulder deformity may be minimal.
Inferior dislocations are very rare and are caused by hyper-abduction. They present with an abducted arm, usually with a flexed elbow (arm placed behind head).
Injuries associated with shoulder dislocations include:
- Bankart lesion- tear of the glenoid labrum
- Hill-Sachs lesion- dent in the humeral head caused by the lip of the glenoid fossa impacting it during the injury.
- Rotator cuff muscle tear
- Damage to axillary artery/nerve
Treatment of shoulder dislocations involves an X-ray to rule out fracture, pain management/sedative, reduction, and surgery if required (e.g. if tissues are damaged).

Diagram - An X-ray of a shoulder dislocation with Bankart and Hill-Sachs lesions
Creative commons source by Mikael Häggström, M.D. [CC BY-SA 4.0 (https://creativecommons.org/licenses/by-sa/4.0)]
Impingement Syndrome is the impingement of rotator cuff muscle tendons on the coracoacromial arch. It occurs due to:
- Thickening of the coraco-acromial ligament
- Inflammation of a rotator cuff muscle tendon
- Subacromial osteophytes
Impingement syndrome causes pain, weakness and reduced range of motion when the shoulder is flexed and/or abducted. This condition most commonly affects the supraspinatus tendon which causes a ‘painful arc’ between 60° and 120° of abduction.
Diagnosis involves a targeted medical history, physical examination and an X-ray. Treatment ranges from rest and NSAIDs to manage pain, to physical therapy, to arthroscopic/open surgery depending on severity.
Adhesive capsulitis, commonly known as ‘frozen shoulder’, is a condition involving capsular thickening and fibrosis of the glenohumeral joint, with a variable inflammatory component. It presents with restricted movement and chronic pain that worsens at night and in cold weather (hence the common name of ‘frozen shoulder’).
In around 5-20% of patients, the opposite shoulder becomes affected within 5 years of the first presentation of adhesive capsulitis. Ultrasound and MRI assist diagnosis. Treatment is usually pain management with NSAIDs or corticosteroid injections alongside physical therapy but in particularly severe cases, surgical manipulation under general anaesthetic can be a treatment option.
Rotator cuff tears refer to damage to any of the rotator cuff muscles: supraspinatus, infraspinatus, teres minor and subscapularis. The most common muscle to tear is supraspinatus. Risk factors include certain repetitive actions (e.g. overhead activity like painting ceilings), smoking, and a family history of rotator cuff tears.
This injury is often asymptomatic, but the most common presentation is anterolateral shoulder pain radiating inferiorly, particularly with shoulder flexion. Rotator cuff muscle tears cause weakness of shoulder abduction, making normal daily activities such as brushing hair difficult and painful.
Management usually includes pain management and physical therapy; however, for large acute tears, or for young individuals with full thickness tears, surgery is an option.
Calcific Supraspinatus Tendinitis
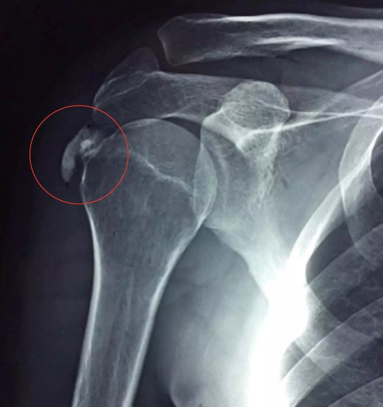
Calcific supraspinatus tendinitis occurs when macroscopic deposits of hydroxyapatite crystals accumulate in the tendon of the supraspinatus muscle. It presents with shoulder pain aggravated by flexion and abduction; as well as mechanical symptoms such as stiffness, snapping or catching sensations.
Diagnostic tests include X-rays (which reveal larger deposits) and ultrasound scans (to pick up smaller deposits that an x-ray may have missed). Treatment can include NSAIDs for pain management, shock wave therapies, physical therapy or surgery (rarely used).

Image - An X-ray of calcific supraspinatus tendinitis indicated by the red circle
Creative commons source by Emilios Pakos, Ioannis Gkiatas, Georgios Rakkas, Dimitrios Papadopoulos, Ioannis Gelalis, Marios Vekris and Anastasios Korompilias [CC BY-SA 4.0 (https://creativecommons.org/licenses/by-sa/4.0)]
Edited by: Dr. Maddie Swannack
80% of all clavicle fractures are mid-clavicular fractures, usually caused by a fall onto an outstretched hand or blow to the shoulder. A displaced mid-clavicular fracture presents with a dropped shoulder and adduction of the arm. This is due to sternocleidomastoid muscle elevating the medial fragment of the broken clavicle and pectoralis major pulling the lateral fragment inferiorly. There is also a high risk with mid-clavicular fractures that they will convert to an open fracture; the sharp ends of the bone could push through the skin, which would increase the chance of infection and complicate the fracture. Displaced fractures may require surgery to realign the fragments, but most fractures can be treated by wearing a sling to restrict movement whilst the bone heals.

Image - An X-ray of a mid-clavicular fracture
Creative commons source by Majorkev [CC BY-SA 4.0 (https://creativecommons.org/licenses/by-sa/4.0)]
The brachial plexus is a bundle of nerves in the axillae that has important motor and sensory functions in the upper limbs.
An upper brachial plexus injury, also known as ‘Erb’s Palsy’ or ‘Duchenne’s Palsy’, describes damage to the cervical spinal cord roots C5 and C6. It is usually caused by trauma that forcefully pushes the shoulder down or shoulder dystocia (shoulders getting stuck in the birth canal) during birth.
This condition presents with internal rotation and adduction of the arm at the shoulder, extension of the arm at the elbow, pronation of the forearm and wrist flexion (this positioning of the arm is sometimes called ‘Waiter’s tip’). It also causes paraesthesia of the C5 and C6 dermatomes - lateral arm, lateral forearm and 1st and 2nd digits.
Surgery can sometimes be used in this condition but there is often no treatment.

Image - A small child with an Upper Brachial Plexus injury, Erb's Palsy ("waiter's tip") - notice the backward facing hand, caused by forced internal rotation and abduction of the arm at the shoulder, forced extension of the arm at the elbow, forced pronation of the forearm and wrist flexion
Public Domain Image, edited by Dr. Marcus Judge
A lower brachial plexus injury, also known as ‘Klumpke’s Palsy’, describes damage to cervical and thoracic spinal cord roots C8 and T1. It is usually caused by forced hyperabduction at the shoulder (e.g. falling off monkey bars and grabbing at the last minute, yanking the shoulder), but in some (rare) cases it can be due to impingement from a Pancoast tumour (a tumour at the apex of the lung).
This condition presents with a claw hand, and paraesthesia of the C8 and T1 dermatomes - 4th and 5th digits, medial border of the hand and medial forearm.
Surgery can sometimes be used in this condition but there is often no treatment.

Image - A Lower Brachial Plexus Injury, Klumpke’s Palsy and the classic "Claw Hand" it presents with
Public Domain Image, edited by Dr. Marcus Judge

Diagram - The anterior view of the 5 brachial plexus nerves on the arm. Axiallary in red, median in green, musculocutaneous in orange, radial in yellow and ulnar in blue
Creative commons source by Kinstudent [CC BY-SA 4.0 (https://creativecommons.org/licenses/by-sa/4.0)]
'Winged Scapula' is a condition that occurs with the paralysis of the long thoracic nerve, a nerve that originates from the C5, C6 and C7 nerve roots as they enter the brachial plexus (so it's not technically a brachial plexus injury, but is very closely associated). The long thoracic nerve normally innervates the serratus anterior muscle, a muscle that is responsible for the rotation of the scapula to allow the arm to abduct. When this muscle is paralysed, the scapula twists out of position and becomes prominently visible beneath the skin. It can be caused by direct trauma to the path of the nerve, or can be due to over-stretching, such as in overhead weight-lifting.
Winging of the scapula is most visible when the shoulder is flexed and the arm is pressed against a wall (as shown in the image below).
Treatment ranges from analgesia and lifestyle modifications (like avoiding overhead work), to surgery. It may take many years to get back to normal.

Diagram - Posterior view of a patient with 'Winged Scapula'. Note the protrusion of the right scapula compared to the left.
Public domain image
Reviewed by: Dr. Thomas Burnell
Edited by: Dr. Maddie Swannack
- 7097

