All done here! Check out our other subjects!
Core
An upper gastrointestinal (GI) bleed is defined as a source of bleed in the foregut (oesophagus, stomach or duodenum).
Major upper GI bleeds have two major causes:
- Peptic Ulceration - This is where a peptic ulcer erodes into an artery causing a large volume of bleeding; duodenal ulcers commonly involve the gastroduodenal artery, while gastric ulcers may involve nearby gastric arterial branches.
- Oesophageal Varices - This is where portosystemic anastomoses in the oesophagus (formed due to portal hypertension often caused by cirrhosis or portal/hepatic vein thrombosis) rupture causing large volume bleeding.

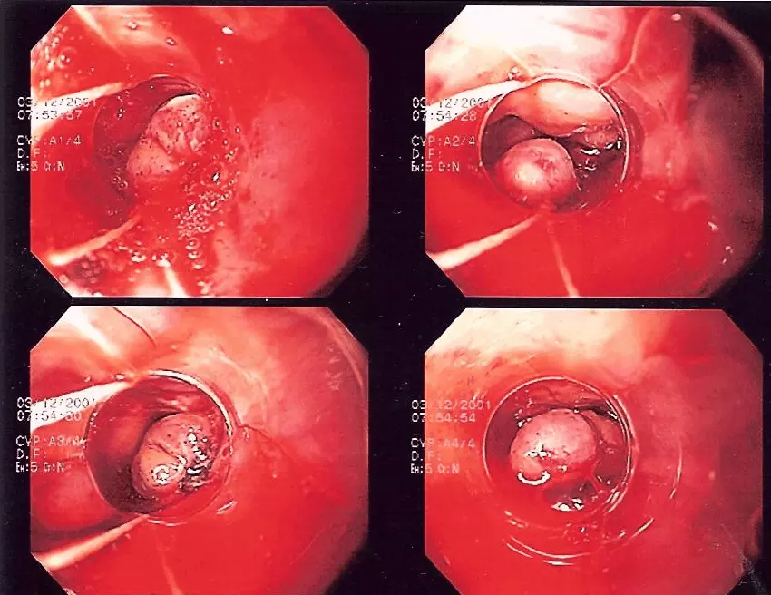
Image - Band ligation of oesophageal varices
Creative commons source by Samir [CC BY-SA 4.0 (https://creativecommons.org/licenses/by-sa/4.0)]
Patients present with large volumes of bright red haematemesis. They will also likely be pale and clammy. Upper GI bleeds can cause large volumes of blood to be lost. Therefore, management focuses on fluid/blood replacement, and finding and then stopping the source of bleeding, often using endoscopy. If the cause is oesophageal varices this is usually done by band ligation or a Transjugular Intrahepatic Portosystemic Shunt (TIPS). Terlipressin may also be used to reduce portal venous pressure. If the cause is peptic ulceration, proton pump inhibitors (PPIs) are used alongside endoscopic therapy, with surgical intervention reserved for cases where bleeding cannot be controlled.

Diagram - Common location of gastric ulcers
Creative commons source by BruceBlaus [CC BY-SA 4.0 (https://creativecommons.org/licenses/by-sa/4.0)]
Ruptured Abdominal Aortic Aneurysm (AAA)
An AAA is a permanent pathological dilation (>3cm) of the abdominal aorta. More than 90% of AAAs originate below the renal arteries and are usually asymptomatic, but large AAAs may cause nausea, urinary frequency, or back pain due to local pressure on structures.
Risk factors of this condition include:
- Male sex
- Genetic predisposition
- Increasing age
- Smoking
If an AAA is to rupture the results are disastrous. 65% of patients with a ruptured AAA die before they reach a hospital. This is because the entire blood volume passes through the aorta in approximately 2 minutes.
Those that make it to primary care may present with severe abdominal pain (with or without flank and groin pain), back pain, pulsatile mass in the abdomen, transient hypotension, and sudden cardiovascular collapse. Diagnosis is usually made by the presence of a pulsatile mass, USS, or CT aortogram.
Treatment of a ruptured AAA is surgical repair, but the mortality rate is incredibly high. In order to prevent this clinical emergency, there is a screening programme for AAAs in the UK.
All men in the UK are offered an ultrasound scan (USS) of their abdominal aorta when they turn 65 years old, and this allows any enlargement of the abdominal aorta to be picked up early and watched carefully.
- If AAA measures between 3.0-4.4 cm, the patient is invited back for yearly USS.
- If AAA measures between 4.5-5.4 cm, the patient is invited back for USS every 3 months.
- If AAA is larger than 5.5 cm, the patient may be offered surgical intervention.
Surgical management of AAAs is either open surgery to clamp the aorta and suture in a synthetic graft, or insertion of an endograft (stent) via the femoral artery.

Diagram - Location of abdominal aortic aneurysm
Creative commons source by BruceBlaus [CC BY-SA 4.0 (https://creativecommons.org/licenses/by-sa/4.0)]
Peritonitis is the inflammation of the peritoneum lining the abdominal cavity, and it can be divided into two categories:
- Primary Peritonitis - also known as spontaneous bacterial peritonitis, is an infection of ascitic fluid that cannot be attributed to any ongoing inflammatory condition and is most commonly seen in patients with end-stage liver disease.
- Secondary Peritonitis - this is inflammation of the peritoneum secondary to inflammation, perforation, or gangrene of an intra-abdominal or retroperitoneal structure (common causes include peptic ulcer disease, appendicitis, diverticulitis, abdominal surgery, ruptured ectopic pregnancy and ovarian cyst).
Patients usually present with pyrexia, vomiting and severe abdominal pain that is unremitting and that causes the patient to lie very still with their knees flexed and they often breathe very shallowly to avoid further irritation of the peritoneum.
Aspiration of ascitic fluid that has a neutrophil count greater than 250 cells/mm3 is diagnostic for spontaneous bacterial peritonitis (or primary peritonitis).
Treatment includes control of the infectious source (if secondary peritonitis), antibiotics (that cover anaerobic and gram-negative bacteria) and maintenance of organ function (which may require intensive care).
Small bowel obstruction is a mechanical or functional problem that inhibits normal movement of gut contents through the small bowel.
Causes can be split into three categories:
Extrinsic Causes - pathology outside the bowel that restricts its function e.g. intra-abdominal adhesions (most common cause), compression by an external tumour, incarcerated hernias or volvulus of the small intestine.
Intrinsic Causes - pathology within the bowel that restricts its function e.g. inflammation from Crohn’s disease, a tumour of the small bowel or intussusception (the telescoping of one portion of the intestine into an adjacent section, which primarily occurs in children)
Intraluminal Causes - pathology of the lumen e.g. gallstone ileus (presence of gallstone in the small intestine causes a functional obstruction) or the presence of a foreign body in the lumen.
Risk factors for small bowel obstruction are:
- Previous abdominal/gynaecological surgery (adhesions)
- Previous radiation of the abdomen (adhesions)
- Frequent raising of intra-abdominal pressure e.g. weightlifting (hernias)
- History of Crohn’s disease
Patients commonly present with intense abdominal pain that is often diffuse across the abdomen, and colicky with cramping in ~3-5 minute intervals. Other features include early vomiting (often bilious but may be feculent depending on the location of the obstruction), abdominal distension and late absolute constipation. It is important not to disregard small bowel obstruction as the diagnosis if bowel movements are still occurring initially, as the bowel may still be functioning distally to obstruction.
A CT scan of the abdomen is the first line imaging choice when small bowel obstruction is suspected as it often allows the identification of the cause of obstruction. The exception to this rule would be if bowel perforation is suspected (e.g. if the pain is disproportionate and unremitting), in which case emergency surgical management may be performed without a CT scan, or an abdominal x-ray may be taken. Classically, an erect chest x-ray searching for pneumoperitoneum would have been undertaken to check for perforation, but this is performed less often today because it is not reliable.
Small bowel obstruction is considered a gastrointestinal emergency because of the high risk of complications such as dehydration/metabolic alkalosis, sepsis, bowel ischaemia/necrosis and perforation.
Management of small bowel obstruction is cause dependent but is often surgical.

Image - An erect abdominal x-ray showing small bowel obstruction
Creative commons source by James Heilman, MD [CC BY-SA 4.0 (https://creativecommons.org/licenses/by-sa/4.0)]
Large bowel obstruction is a mechanical or functional problem that inhibits normal movement of gut contents through the large bowel.
Causes can be split into two categories:
- Mechanical causes e.g. colon malignancy (most common cause), diverticular disease, volvulus (twisting of the colon around its mesentery, most commonly occurs in the sigmoid colon but also occurs in the caecum) or inflammatory bowel disease.
- Non-mechanical causes e.g. colonic pseudo-obstruction or toxic megacolon.
Risk factors of large bowel obstruction are:
- High fibre diet in certain populations (volvulus)
- Low fibre diet (diverticular disease)
- Increasing age
Patients commonly present with intense abdominal pain that is often diffuse and colicky with cramping in 15-20 minute intervals. Other presentations can include abdominal distension, absence of flatus, absolute constipation, and late-stage vomiting. With the bowel blocked and faeces building up, fluid is forced out of the bowel into the interstitial space, called ‘third spacing’. This can result in dehydration and electrolyte imbalance. Symptoms may come on gradually if the underlying cause is of a progressive nature, e.g. colon cancer, but may also come on suddenly if the cause is acute, e.g. volvulus.
First-line diagnostic imaging is a CT scan of the abdomen as it often allows the identification of the location and the cause of the obstruction. The exception to this rule would be if bowel perforation is suspected (e.g. if the pain is disproportionate and unremitting, or the patient is peritonitic), in which case an emergency surgical intervention may be undertaken without a CT scan, or an abdominal x-ray can be taken. Classically, an erect chest x-ray searching for pneumoperitoneum would have been undertaken to check for perforation, but this is performed less often today because it is not reliable. In stable patients, endoscopy can provide a biopsy of a mass causing the obstruction and can be both diagnostic and therapeutic if sigmoid volvulus is the cause of the obstruction.
Large bowel obstruction is considered a gastrointestinal emergency because of the high risk of complications such as dehydration/metabolic alkalosis, sepsis, bowel ischaemia/necrosis and perforation.
Most cases are managed surgically.

Image - Abdominal x-ray showing large bowel obstruction
Creative commons source by James Heilman, MD [CC BY-SA 4.0 (https://creativecommons.org/licenses/by-sa/4.0)]
Abdominal X-Rays and Gut Structures
Plain abdominal x-rays are an investigation that is rarely ordered because they cannot provide very much information about the soft tissue structures that make up most of the abdominal cavity compared to a CT. One of the few indications for a plain abdominal x-ray is bowel obstruction. In the case of obstruction, the speed of abdominal x-ray is very helpful, and being able to identify whether the obstruction is in the small or large bowel is very helpful.
There are a number of features that can help differentiate between the small and large intestine on plain film x-ray:
- The small bowel is narrower than the large bowel - the diameter of the small bowel should not exceed 3 cm, whereas the large bowel can have a diameter of 6 cm, or even 9 cm in the caecum.
- The small bowel is often more central in the abdominal cavity, with the large bowel peripherally around the abdomen - this may be less reliable with very dilated bowel loops as can be seen in obstructions (the main indication for plain film abdominal x-rays).
- The plicae circularis traverse the whole diameter of the small bowel, whereas the haustra in the large bowel do not traverse the whole diameter.
While the interpretation of abdominal x-rays is outside the scope of this article, it is important to understand the clinical applications for the anatomical knowledge explained in this article.
Acute mesenteric ischaemia is described as the symptomatic reduction in the blood supply to the gastrointestinal tract.
Causes include:
- Acute Occlusion (~70% of cases) - e.g. arterial embolism in the superior mesenteric artery (SMA).
- Non-occlusive (~20% of cases) - e.g. low cardiac output.
- Mesenteric Venous Thrombosis (~5-10%) - e.g. systemic coagulopathy due to malignancy.
Risk factors for this condition include:
- Female sex
- History of peripheral vascular disease
- Cardiovascular risk factors such as raised cholesterol, smoking, familial hyperlipidaemia etc
Patients typically present with sudden-onset, severe abdominal pain that is disproportionate to clinical findings. The pain is often central or periumbilical and may be accompanied by nausea and vomiting. As ischaemia progresses, peritonism and systemic features may develop.
Diagnostic investigations include blood tests (to look for metabolic acidosis/raised lactate levels) and CT angiography.
Management of acute mesenteric ischaemia is either thrombolysis/angioplasty or surgical resection of the ischaemic bowel depending on the severity of the ischaemia, but mortality is high.
Edited by: Dr. Maddie Swannack
Reviewed by: Dr. Thomas Burnell
- 480

