Next Lesson - Distal Gastrointestinal Tract Pathology
Core
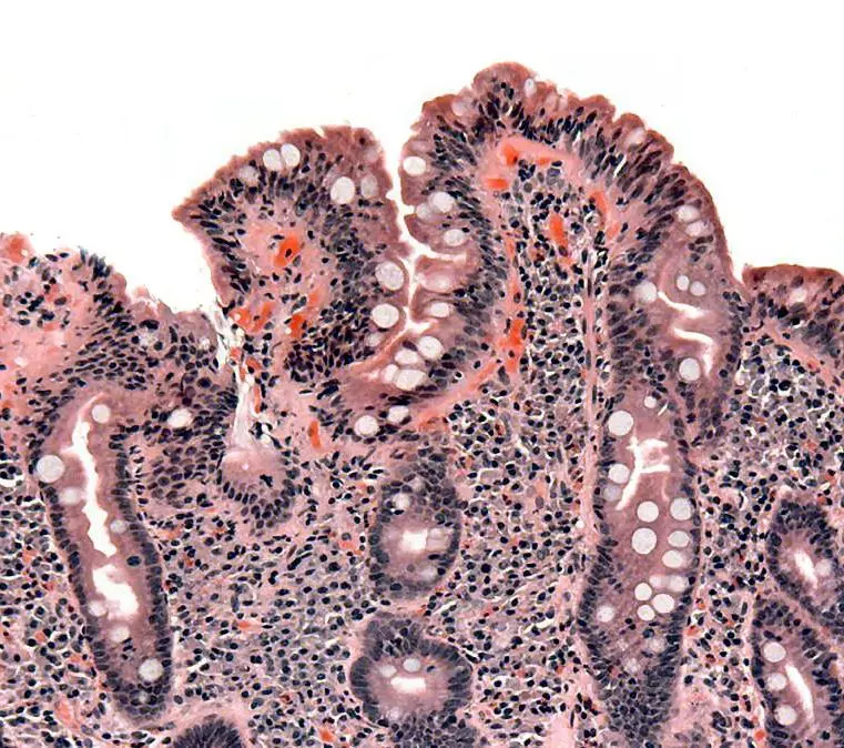
Coeliac disease is an autoimmune inflammatory condition of the bowel that arises from an immunological response to the gliadin fragment of gluten. This reaction to gluten causes the small bowel to be chronically inflamed, resulting in atrophy of the villi within the intestine and therefore reduced absorption of other nutrients. There is often a genetic link, so a thorough family history is important when diagnosing coeliac disease.
Symptoms include abdominal pain, bloating, excessive flatulence, diarrhoea, and weight loss.
To investigate coeliac disease, blood is taken to identify if anti-TTG antibodies or endomysial antibodies are present, but the gold-standard for diagnosis is an endoscopy and duodenal biopsy performed while the patient is still eating a gluten-containing diet.
The treatment of this condition is to completely exclude gluten from the diet - this sounds simple, but gluten is present in any food derived from wheat, barley or rye, meaning that it is contained in all foods containing traditional flour, including bread, pasta, cereals, beer and sauces.

Image - Atrophic villi of Coeliac disease, note the blunted ends of the villi
Creative commons source by Samir [CC BY-SA 4.0 (https://creativecommons.org/licenses/by-sa/4.0)]
Crohn’s Disease is a type of Inflammatory Bowel Disease (IBD) that can affect anywhere in the gastrointestinal (GI) tract but most commonly occurs at the terminal ileum. It is most often seen in 20-30 year olds and smoking is a risk factor.
Patients typically present with an increased frequency of watery stools that usually do not contain blood, weight loss, right lower quadrant pain and/or perianal inflammation. They may also have associated conditions such as arthritis. If the disease affects the terminal ileum (the most commonly affected region of bowel), the patient may also have anaemia, as this region is responsible for the absorption of vitamin B12, which is required for the creation of red blood cells.
Investigations may include blood tests (full blood count [FBC] and C-reactive protein [CRP]), faecal calprotectin (a marker of inflammation in the stool), colonoscopy, barium enema and CT/MRI.
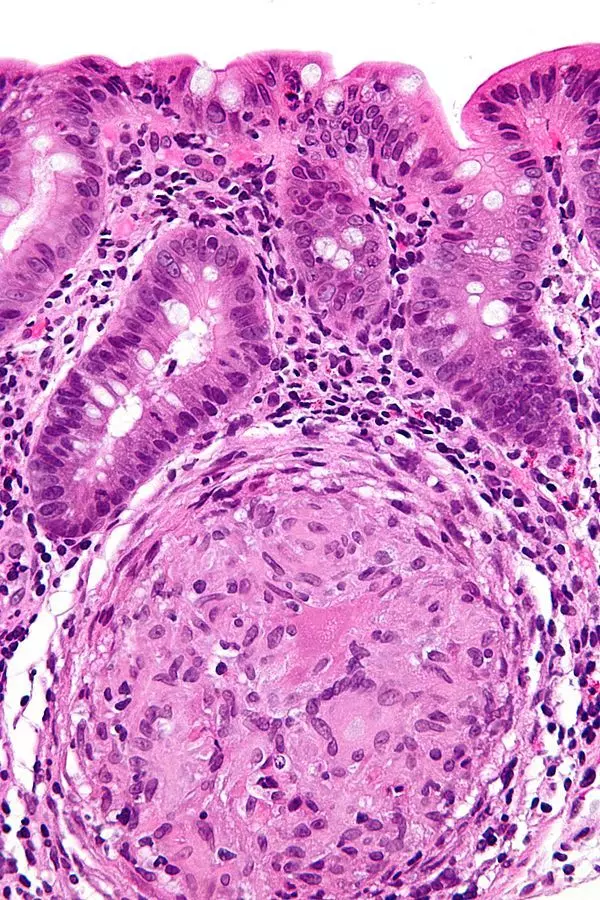
On colonoscopy, the gross pathological features that may be apparent are skip lesions (areas of normal bowel between two affected lesions), mucosal oedema, transmural inflammation, deep ulcers, cobblestone appearance and fistulae with the bladder/vagina/skin. If a tissue sample is taken, microscopy will show granulomas - collections of epithelioid macrophages.
Crohn’s disease cannot be treated easily with surgical resection of the bowel due to the fact it can just occur in a different location within the GI tract at any time. Surgical intervention may be required however to manage stricture and fistula formation. The mainstay of management includes immunomodulators such as Azathioprine, with oral steroids commonly used to treat flare-ups; aminosalicylates have a more limited role in Crohn’s disease.

Image - Granuloma of Crohn’s disease
Creative commons source by Nephron [CC BY-SA 4.0 (https://creativecommons.org/licenses/by-sa/4.0)]
Ulcerative colitis (UC) is another type of inflammatory bowel disease that begins in the rectum and can spread continuously to involve the entire colon. Similarly to Crohn’s Disease, it is also seen in relatively young adults, but smoking is actually a protective factor against UC.
Presenting symptoms often include increased frequency of stools with blood and mucus, abdominal pain and weight loss, typically without any perianal inflammation. Patients may have associated extraintestinal complications such as scleritis or arthritis.
Investigations include blood tests (FBC and CRP), faecal calprotectin, colonoscopy and CT/MRI. Contrast studies such as barium enema are now rarely used and are avoided in severe disease due to perforation risk.
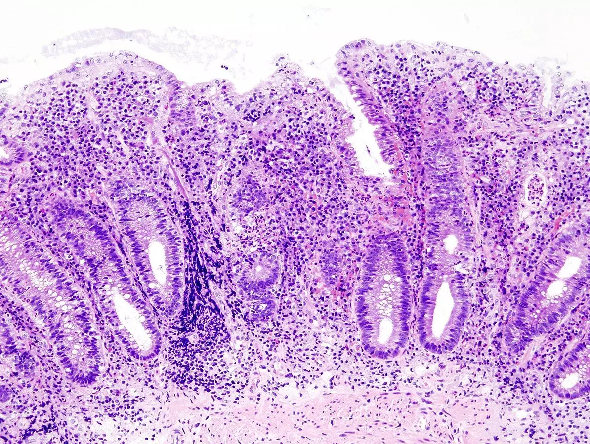
On colonoscopy, the main gross pathological feature that may be apparent is pseudopolyps; in acute severe disease, limited endoscopy is preferred due to perforation risk. However, microscopy of a tissue sample will show inflammation of the lamina propria of the bowel, crypt distortion +/- abscesses and fewer goblet cells.
UC can be cured with surgical resection but if surgery is contraindicated or medical management is preferred by the patient, aminosalicylates and oral steroids can be used. Complications of UC include bowel perforation and toxic megacolon.

Image - Crypt distortion of ulcerative colitis
Creative commons source by User:KGH [CC BY-SA 4.0 (https://creativecommons.org/licenses/by-sa/4.0)]
Inflammatory Bowel Disease Comparison

Table - Comparison of the different types of inflammatory bowel disease

Image - Pattern of disease in Crohn’s disease vs ulcerative colitis
Creative commons source by RicHard-59 [CC BY-SA 4.0 (https://creativecommons.org/licenses/by-sa/4.0)]
Irritable bowel syndrome (IBS) is a clinical diagnosis, made using symptom-based criteria with targeted tests to exclude red flag pathology. The exact cause of IBS is unknown but is often thought to be multifactorial and stress is a key trigger for bad episodes. It is more common in women than men and often seen in the 20-40 year old age group.
Patients typically present with abdominal pain, bloating, excessive flatulence, alternating diarrhoea and constipation without any blood in stools and rectal urgency. Presentations can be similar to coeliac disease, IBD and malignancy of the GI tract; so often tests for these conditions are performed and if all are found to be negative and triggers such as stress are present, a diagnosis is made.
Treatment is symptom management with analgesia/laxatives/loperamide as needed and addressing the underlying psychological component if possible.
A hernia is a protrusion of visceral contents beyond the confines of the cavity in which it is supposed to reside. Most commonly, these are abdominal hernias, where abdominal organs protrude outside the abdominal wall.
Hernias usually occur in areas of weakness such as the inguinal canal, femoral canal, umbilicus and at sites of previous incisions.
There are two classes of hernia, and they present very differently:
The first type of hernia presents with a lump/swelling that is not causing them pain and can be pushed back in/only bulges out when straining/laughing etc - this is a reducible hernia.
More severe hernias present with intense pain (+/- associated nausea and vomiting) and the inability to push the lump back in - an irreducible hernia. Irreducible/incarcerated hernias are at very high risk of becoming strangulated. Strangulation is where the blood supply to the abdominal contents that have protruded through the wall has been reduced/cut off completely, therefore cases of strangulated hernias are surgical emergencies because that portion of bowel will become necrotic without a blood supply.

Diagram - Common sites of hernias
Creative commons source by BruceBlaus [CC BY-SA 4.0 (https://creativecommons.org/licenses/by-sa/4.0)]
- Comprise 75% of all abdominal hernias.
- More common in men than women and can descend into the scrotum.
- Most commonly occur via the indirect route (lateral to the epigastric vessels) - pass through the deep ring of the inguinal canal, follow the path of the inguinal canal and exit via the superficial ring of the inguinal canal.
- Less commonly occur via the direct route (medial to the epigastric vessels) - push through Hesselbach’s triangle (bordered by rectus abdominus, the inguinal ligament and the inferior epigastric vessels).

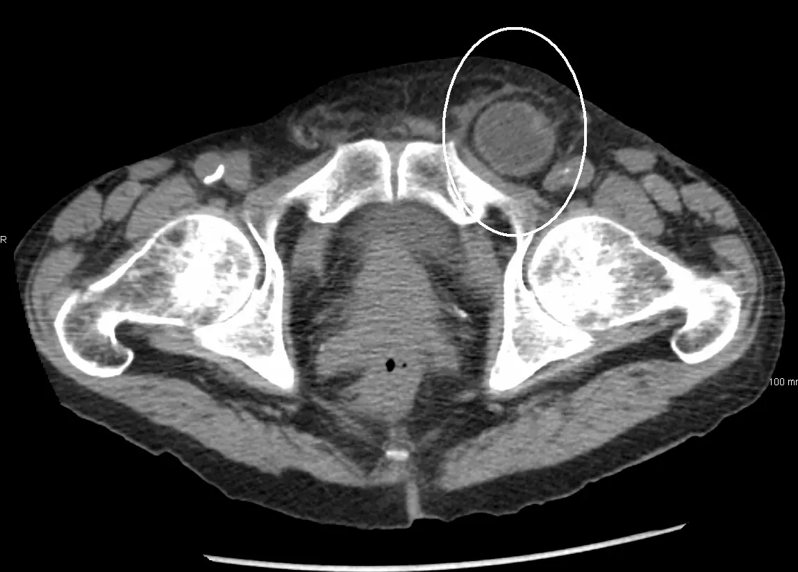
Image - A CT scan of an incarcerated inguinal hernia
Creative commons source by James Heilman, MD [CC BY-SA 4.0 (https://creativecommons.org/licenses/by-sa/4.0)]
- Uncommon.
- More common in women than men.
- High risk of strangulation.
- Occurs inferiorly to the inguinal ligament at saphenous opening.
- Bulge at the site of the umbilicus in infants.
- Not usually painful.
- Low risk of strangulation.
- 80-90% reduce completely by the age of 3.
- Bulge through the linea alba - usually in the region of the umbilicus.
- More common in women than men.
- Low risk of strangulation.
Incisional/Epigastric/Spigelian
- Less common protrusions of abdominal contents in various locations.
Diverticular disease is an umbrella term for both diverticulosis and diverticulitis.
Diverticulosis refers to a condition where outpouchings of mucosa and submucosa herniate through the muscularis layers of the colon. 85% of all diverticulosis occurs in the sigmoid colon. It is asymptomatic and often an incidental finding on colonoscopy/imaging. The cause of diverticulosis is raised intraluminal pressure, thought to often be due to chronic constipation and a low fibre diet. A high fibre diet +/- using laxatives (if patients frequently experience constipation) can prevent the progression of diverticulosis to diverticulitis.
Diverticulitis is the inflammation +/- perforation of the diverticula. This occurs in a minority of patients with diverticulosis (often quoted at around 10-20% over a lifetime) and occurs when faeces blocks the opening of the diverticulum - this leads to bacteria invading the wall of the diverticulum causing inflammation. If there is a large amount of inflammation, the diverticulum may perforate. Patients with diverticulitis typically present with abdominal pain (often lower left segment - sigmoid), fever, abdominal distension, and constipation. They may also have signs of peritonitis such as rebound tenderness and haematochezia if perforation has occurred. Investigations include blood tests (FBC and CRP) and a CT scan. Colonoscopy is avoided in the acute setting due to perforation risk. If there are no signs of perforation, uncomplicated diverticulitis is treated with analgesia and dietary modification (often fluids or a low residue diet initially), with antibiotics reserved for selected cases depending on severity and patient factors. If abscess formation or perforation is suspected, surgical invention may be required.

Diagram - Diverticular disease in the colon
Creative commons source by Lfreeman04 [CC BY-SA 4.0 (https://creativecommons.org/licenses/by-sa/4.0)]
Edited by: Dr. Maddie Swannack
Reviewed by: Dr. Thomas Burnell
- 991

