Next Lesson - Conditions of the Wrist
Core
Want more information on anatomy before you begin looking at conditions? Head to our articles on Bones of the Upper Limb, Muscles of the Forearm and Muscles of the Upper Arm for more information!
Lateral elbow tendinopathy, more commonly known as ‘Tennis elbow’, is tendinopathy of the common extensor tendon at the lateral epicondyle (particularly the tendon of extensor carpi radialis brevis). It is common in people aged 40-60 years, especially tennis players, plumbers and carpenters. It can be remembered that lateral elbow tendinopathy is ‘tennis elbow’ because they both have ‘t’s in.
This condition presents with pain over the lateral epicondyle during extension of the wrist.
Lateral elbow tendinopathy is often managed conservatively and many cases improve over time. Rest, activity modification and physiotherapy are commonly used. Oral analgesics, topical NSAIDs and ice can help relieve pain during this period.

Diagram - Lateral elbow tendinopathy
Creative commons source by BruceBlaus [CC BY-SA 4.0 (https://creativecommons.org/licenses/by-sa/4.0)]
Medial elbow tendinopathy, more commonly known as ‘Golfer’s elbow’, is tendinopathy of the common flexor origin at the medial epicondyle (most commonly between the origin of pronator teres and flexor carpi radialis). It is less common than lateral elbow tendinopathy, but usually occurs in golfers and those who play throwing sports as they place valgus stress on the elbow.
This condition presents with pain over the medial epicondyle during resisted flexion or pronation of the wrist, as well as ulnar nerve symptoms.
Medial elbow tendinopathy is a self-limiting condition, so it usually resolves without treatment if the arm is rested. Oral painkillers, topical NSAIDs and ice can be used to relieve pain during this time.

Diagram - The tendons affected in medial elbow tendinopathy
Creative commons source by www.scientificanimations.com [CC BY-SA 4.0 (https://creativecommons.org/licenses/by-sa/4.0)]
Dislocated elbows are divided into two categories:
Posterior
This type of dislocation is where the trochlear notch of the ulnar is posterior to the humerus. 90% of elbow dislocations are posterior dislocations, usually caused by a fall onto an outstretched hand with a partially flexed elbow. This is the most common type of elbow dislocation.
It presents with a popping sensation on immediate injury, pain, swelling and the olecranon may be prominent.
Complications can include tearing of the ulnar collateral ligament and damage to the ulnar nerve.
Anterior
This type of dislocation is where the trochlear notch is anterior to the humerus.10% of elbow dislocations are anterior dislocations, usually caused by a direct blow to the posterior elbow when it is flexed.
It presents with a popping sensation on immediate injury, pain and swelling.
A common complication of an anterior elbow dislocation is an olecranon fracture.
Treatment involves reduction, followed by a splint or a sling, and then a range of exercises for 4-6 weeks to prevent stiffness.

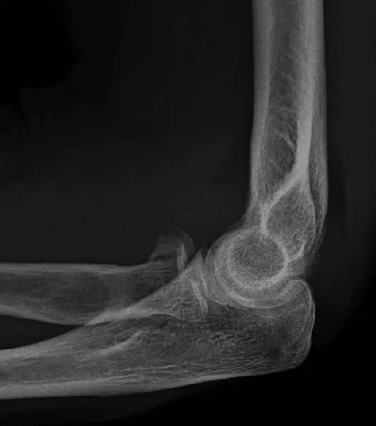
Image - X-Ray of an anterior elbow dislocation
Creative commons source by Jagadish Prabhu, Mohammed K. Faqi, Fahad AL Khalifa and Rashad K. Awad [CC BY-SA 4.0 (https://creativecommons.org/licenses/by-sa/4.0)]
A pulled elbow, also known as ‘Nursemaid’s elbow’, is an incomplete dislocation where there is subluxation of the radial head. It most commonly affects young children, typically aged 1-4 years, following sudden longitudinal traction on the arm, such as when a child is lifted or pulled by the hand. Pulled elbows are often caused by longitudinal traction being applied to the arm when the forearm is pronated, and this is why it commonly affects young children. It is important to note, however, that this may be a presentation of a non-accidental injury, especially if it occurs in a child that is less than one (because they are generally not able to walk). This condition presents with pain over the lateral aspect of the proximal forearm and reduced movement of the elbow. The annular ligament is usually displaced or interposed rather than torn.
Treatment for a pulled elbow is reduction, and most children will start using their arm normally again after around 20 minutes.
Radial Head and Neck Fractures
Radial head and neck fractures are the most common elbow fractures in adults. They present with pain in the lateral aspect of the forearm and reduced movement of the elbow. There is usually modest swelling, however, a ‘fat pad sign’/‘sail sign’ on an X-Ray indicates an effusion is present.
Non-displaced fractures can be treated with a sling or splint followed by motion exercises. Displaced fracture treatment is dependent on the extent of displacement and the size of the fragments, but surgery may be involved to realign the fragments.

Image - An X-Ray of a radial head fracture
Creative commons source by James Heilman, MD [CC BY-SA 4.0 (https://creativecommons.org/licenses/by-sa/4.0)]
Olecranon bursitis, also known as ‘Student’s elbow’, is inflammation of the olecranon bursa. It is often due to repeated micro-trauma such as leaning on the elbow whilst studying. The swelling is usually soft, filled with serous fluid and transilluminates (unless it is septic bursitis).
Treatment involves avoiding direct pressure on the olecranon bursa or wearing a pad to cushion the bursa, as well as taking NSAIDs such as ibuprofen to reduce pain and swelling. It is however often only a cosmetic abnormality and causes no pain. If septic bursitis is present, antibiotics need to be given, possibly with an aspiration of the fluid.

Image - A patient with olecranon bursitis
Creative commons source by en:User:NJC123 [CC BY-SA 4.0 (https://creativecommons.org/licenses/by-sa/4.0)]
Cubital tunnel syndrome is the compression of the ulnar nerve by the tendinous arch between the two heads of flexor carpi ulnaris. It presents with:
- Paraesthesia of the medial hand.
- Reduced abduction and adduction of the fingers, particularly digits 4 and 5.
- Weakness of grip and difficulty with fine finger movements.
Treatment involves avoiding pressure on the nerve as this increases symptoms, but in some cases surgery may be required to relieve the pressure on the nerve.

Diagram - The pathway taken by the ulnar nerve and where it can become trapped between the two heads of flexor carpi ulnaris in the cubital tunnel
Creative commons source by Dr. Harry Gouvas, MD, PhD, edited by Dr. Laura Hansell [CC BY-SA 4.0 (https://creativecommons.org/licenses/by-sa/4.0)]
Reviewed by: Dr. Thomas Burnell
Edited by: Dr. Maddie Swannack
- 5793

