Next Lesson - Intestinal Pathology
Core
Cirrhosis develops in response to any chronic liver disease due to ongoing inflammation causing fibrosis. Over years, this fibrosis and associated hepatocyte necrosis results in irreversible architectural changes and a reduction in liver function.
There are many causes of cirrhosis:
Increased alcohol consumption initially causes fatty changes in the liver due to acetaldehyde build-up. This occurs over weeks-months and is reversible.
However, with continued (months-years) alcohol abuse this develops into alcoholic hepatitis as scarring builds up.
Alcoholic hepatitis is therefore initially reversible but can cause jaundice, hepatomegaly, and right upper quadrant (RUQ) pain and without early intervention will progress to irreversible cirrhosis.
Non-Alcoholic Fatty Liver Disease (NAFLD)
This is the accumulation of triglycerides and other lipids in hepatocytes. It is common in patients with obesity, type 2 diabetes mellitus, and metabolic syndrome, and progresses in a similar pattern as alcoholic liver disease (i.e. fatty changes to fibrosis).

Diagram - Progression of NAFLD to Cirrhosis
Creative commons source by Signimu [CC BY-SA 4.0 (https://creativecommons.org/licenses/by-sa/4.0)]
Long-term use of hepatotoxic drugs can lead to fibrosis of the liver, which can progress to cirrhosis. Drugs that can contribute to this include antibiotics, sulfasalazine, and azathioprine.
There are various types of viral hepatitis (called hepatitis A to E), but the two main types that contribute to liver cirrhosis are hepatitis B and hepatitis C. These two viruses can be passed on via bodily fluids, e.g. through sharing of needles in IV drug use, through unprotected sex, and passing from mother to child during pregnancy or childbirth.
Hepatitis B has effective antiviral treatments that can control the infection but does have a vaccine that can prevent infection. Hepatitis C does have a treatment available but does not have a vaccine.
An autosomal recessive inherited condition that causes abnormal iron metabolism. As a result, there is excess iron deposition in the liver.
An autosomal recessive inherited condition that causes abnormal copper metabolism. As a result, there is excess copper deposition in the liver.
Primary Sclerosing Cholangitis (PSC)
An autoimmune condition that causes fibrosis of intra and extra-hepatic bile ducts. This condition can be asymptomatic or may cause pruritus, jaundice, and/or cholangitis. PSC is associated heavily with inflammatory bowel disease, particularly ulcerative colitis.
Primary Biliary Cirrhosis (PBC)
An autoimmune condition that causes destruction of intrahepatic bile ducts. This condition can be asymptomatic or may cause pruritis and/or jaundice.
There are many other conditions that can cause cirrhosis of the liver. These can include alpha-1 antitrypsin deficiency and Budd-Chiari syndrome.
Cirrhosis is irreversible, but management focuses on treating the underlying cause, preventing and managing complications, and monitoring for progression. Liver transplantation is considered in selected patients with advanced or decompensated disease.

Image - A cirrhotic liver that has undergone fatty degeneration
Creative commons source by Wellcome Images [CC BY-SA 4.0 (https://creativecommons.org/licenses/by-sa/4.0)]
Jaundice itself is a symptom not a condition, but it has a very strong association with liver pathology, so it is important to consider the pathologies that can cause it. Jaundice is the yellow discolouration of the sclera and skin due to raised levels of bilirubin (pigmented molecule) in the blood.
Bilirubin is the breakdown product of haemoglobin and is bound to albumin in its unconjugated state before it can be conjugated by the liver. Therefore, if a patient has jaundice with high levels of unconjugated bilirubin in their blood, it is likely due to an increased breakdown of haemoglobin that the liver cannot handle. If the patient has high levels of conjugated bilirubin, it is likely due to problems excreting the bilirubin as bile with a fully functioning liver. This difference is important, as conjugated bilirubin is water-soluble meaning it can be excreted via the urinary system if levels are too high in the blood and overwhelm the biliary system.
The causes of jaundice can be divided into three categories depending on the location of the pathology:
Pre-hepatic jaundice is caused by an increased breakdown of haemoglobin. This means it is likely due to haemoglobinopathies, such as sickle cell anaemia, thalassaemia and spherocytosis, where there is an increased rate of haemolysis and the liver cannot meet the demands.
In pre-hepatic jaundice there is often an associated anaemia and high levels of unconjugated bilirubin but other liver function tests (LFTs) are often normal. This does not present with any associated changes to urine or stools.
If a patient has jaundice with a mixture of unconjugated and conjugated bilirubin in the blood, it indicates that there is decreased conjugating ability of hepatocytes due to damage and therefore the pathology is likely to be in the liver.
This damage can be caused by cirrhosis (or any of the precursors to cirrhosis listed above), infection or drug toxicity e.g. paracetamol overdose.
Alongside a mixed bilirubin picture in the blood, alanine transaminase (ALT) and aspartate transaminase (AST) - markers of hepatocyte damage - will also likely be raised and alkaline phosphatase (ALP) - a marker of biliary damage - will likely be normal or only mildly raised. This may present with associated dark urine (because the excess conjugated bilirubin will be filtered into the urine), but stools will remain unchanged (because the normal amount of conjugated bilirubin enters the gastrointestinal tract).
If a patient has jaundice with raised levels of conjugated bilirubin in the blood, it indicates that there is an obstruction to the excretion pathway, but that liver function is unaffected. Causes of excretion pathway obstruction include gallstones, malignancy, PBC, PSC or biliary strictures.
In post-hepatic jaundice there is often raised ALP and raised gamma-GT levels - markers of biliary damage - in the blood, but ALT and AST levels will likely be normal as the liver is functioning normally. This may present with associated dark urine and pale stools due to conjugated bilirubin being water-soluble and being excreted via the urinary system rather than being excreted into the gastrointestinal tract.

Image - Yellow sclera of jaundice
Creative commons source by Bobjgalindo [CC BY-SA 4.0 (https://creativecommons.org/licenses/by-sa/4.0)]
Portal hypertension is a condition of increased blood pressure within the portal venous system (PVS) caused by fibrosis of the liver around the portal blood vessels. Cirrhosis compresses the veins entering the liver from the PVS increasing the hydrostatic pressure in the PVS causing fluid to move out of the veins causing ascites. Blood can also be shunted from the PVS to the systemic venous system which leads to distension of veins at the site of anastomoses leading to varices (enlarged veins).
There are three important sites of varices:
- Distal portion of oesophageal mucosa - oesophageal varices can rupture and can cause a significant upper gastrointestinal bleed.
- Umbilical region - blood flow to the ligamentum teres can be re-established and this can form the clinical sign known as caput medusa.
- Anorectal region - anorectal varices can occur due to portal hypertension; these are distinct from haemorrhoids, which are not caused by portal hypertension.
Another complication of portal hypertension is acute kidney injury (AKI). Portal hypertension leads to splanchnic vasodilation which can activate the renin-angiotensin-aldosterone system and cause renal artery vasoconstriction which in turn can lead to an AKI.

Image - Ascites due to hepatic failure
Creative commons source by James Heilman, MD [CC BY-SA 4.0 (https://creativecommons.org/licenses/by-sa/4.0)]

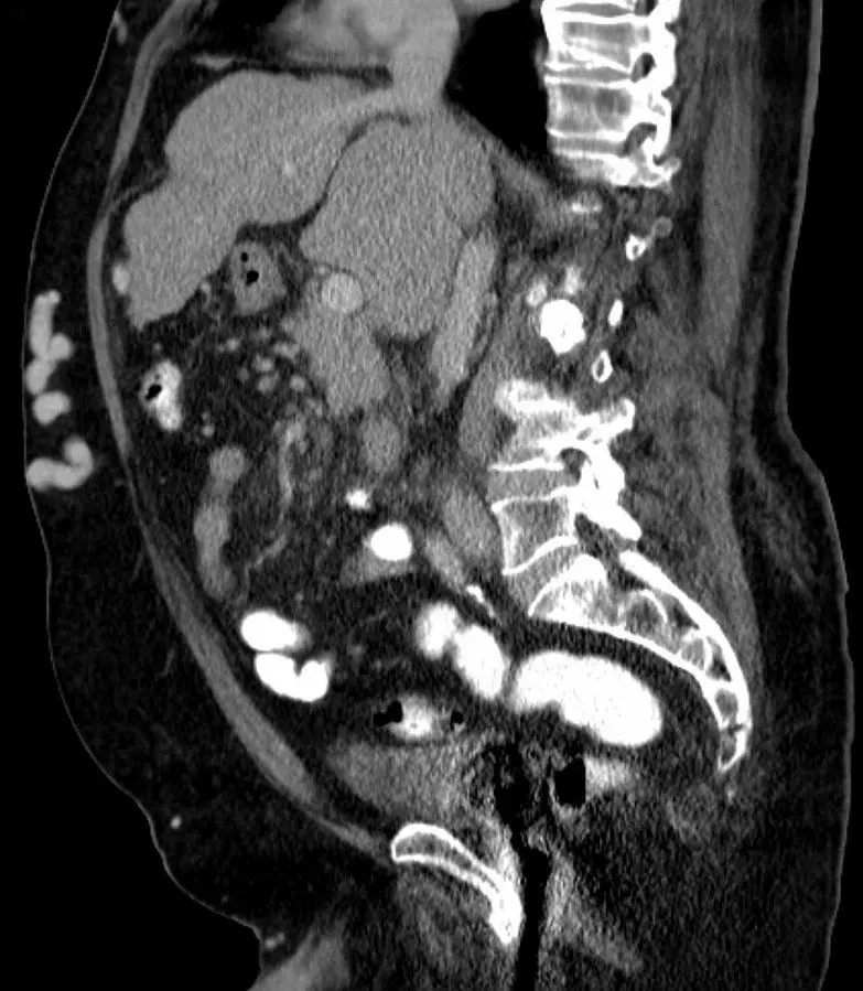
Image - CT scan showing caput medusa. Look for the collection of fluid that is most superficial on the abdomen (fluid is white on CT scan)
Creative commons source by Hellerhoff [CC BY-SA 4.0 (https://creativecommons.org/licenses/by-sa/4.0)]
The gallbladder is a small organ that sits below the liver. It collects the bile produced by the liver and releases it into the duodenum in response to cholecystokinin, a substance released from the duodenum in response to the presence of fats and amino acids.
Gallstones are small stones formed from cholesterol, bile pigments and phospholipids in the gallbladder. They can exist in the gallbladder and be asymptomatic.
Risk factors for the development of gallstones include female sex, obesity, aged 40 - 50, and being of white ethnicity. This can be remembered by the rather crude phrase “fair, fat, female, forty”.
Biliary colic occurs when gallstones are present and temporarily obstruct the cystic duct. Patients typically present with RUQ pain that comes and goes and is often associated with eating (particularly when foods with a high-fat content are consumed). It is not true colicky pain.
This condition may be investigated using an ultrasound scan (most gallstones are radiolucent so would not show up on an x-ray) and LFTs may be deranged but inflammatory markers are NOT raised in biliary colic as it is not a permanent obstruction.
Treatment typically revolves around lifestyle changes to reduce fat intake and lose weight, but if conservative management fails patients may undergo an elective cholecystectomy.

Diagram - Gallstones blocking the common bile duct
Creative commons source by BruceBlaus [CC BY-SA 4.0 (https://creativecommons.org/licenses/by-sa/4.0)]
Acute cholecystitis occurs when a gallstone becomes impacted in the cystic duct. Acute cholecystitis usually develops when a gallstone causes sustained obstruction of the cystic duct, often following episodes of biliary colic.
Patients typically present with constant RUQ pain and fever. These patients will also have a positive Murphy’s sign - this is a clinical sign of pain on inspiration as the gallbladder moves down into the examiner's hand that is palpating the right subcostal region.
An ultrasound scan may show inflamed gallbladder walls as well as gallstones. LFTs are unlikely to be deranged as the liver should be functioning normally but inflammatory markers will be raised.
Treatment includes antibiotics and early laparoscopic cholecystectomy during the same admission in suitable patients.
Ascending cholangitis is the infection of the biliary tree proximal to the impacted stone. Patients typically present with constant RUQ pain, fever and post-hepatic jaundice, known as Charcot’s triad. Treatment includes IV antibiotics, fluids and urgent biliary decompression, most commonly with ERCP.
Acute pancreatitis is injury and necrosis of acinar cells of the pancreas and has a variety of causes often remembered by the mnemonic I GET SMASHED.
- Idiopathic
- Gallstones
- Ethanol (Alcohol abuse)
- Trauma
- Steroids
- Mumps
- Autoimmune conditions
- Scorpion sting
- Hyperlipidaemia/Hypercalcaemia
- ERCP (Endoscopic Retrograde Cholangiopancreatography)
- Drugs e.g. azathioprine
The most common causes are gallstones and alcohol abuse.
Patients typically present with intense epigastric pain that radiates to the back, nausea and vomiting, and sometimes bruising around the umbilicus and flanks; Cullen’s (umbilical - one name = one bruise) and Grey-Turner’s sign (flanks - two names = two flanks) respectively.
Diagnosis involves assessment with the Modified Glasgow Score, blood tests including amylase and pancreatic lipase, and imaging (USS if suspected gallstones or CT).
Management is mainly supportive, e.g. IV fluids and analgesia, with a nasogastric tube considered only if there is persistent vomiting or ileus, followed by treatment of the underlying cause. For gallstone pancreatitis, ERCP is indicated when there is evidence of biliary obstruction or cholangitis.

Image - Grey-Turner's Sign
Creative commons source by Herbert L. Fred, MD and Hendrik A. van Dijk [CC BY-SA 4.0 (https://creativecommons.org/licenses/by-sa/4.0)]
Edited by: Dr. Maddie Swannack
Reviewed by: Dr. Thomas Burnell
- 1132

