Next Lesson - The Temporomandibular Joint (TMJ)
Abstract
- The skull is made up of 22 individual bones joined by sutures.
- The skull has two parts: the neurocranium and the viscerocranium.
- The viscerocranium is made up of 14 bones: the zygomatic, lacrimal, nasal, palatine, and vomer bones, inferior nasal conchae, maxillae and mandible.
- The neurocranium has a roof (calvaria), a floor and a cranial cavity.
- The calvaria is arranged in 3 layers: the inner table, diploe and outer table.
- The cranial floor is divided into 3 fossae: anterior, middle and posterior.
- The cranial floor has a series of canals, foramina and fissures which transmit important nerves and blood vessels.
- Fractures of the calvaria can be linear or depressed.
- A fracture of the pterion can shear the middle meningeal artery, resulting in an extradural haemorrhage.
- Basal skull fractures are rare but important and present with specific signs.
- Facial fractures are common: the nasal bones, zygomatic arches and mandible are most commonly affected.
Core
The skull, or cranium, is the bony skeleton of the head. It is made up of 22 individual bones which are joined by fibrous joints called sutures. Most of these bones form by intramembranous ossification, although parts of the cranial base develop by endochondral ossification.
The skull can be broadly divided into two parts:
- Neurocranium (8 bones) - this is the part which encases the brain. It has a roof (calvaria), a floor and a cranial cavity (which holds the brain).
- Viscerocranium (14 bones) - this is the skeleton of the face. It supports the soft tissue of the face and houses the eyes, oral cavity and upper respiratory tract.
The facial skeleton is made up of 14 bones:
- Zygomatic Bones (2) - these are the cheekbones. They articulate with the frontal, sphenoid, temporal bones and the maxillae.
- Lacrimal Bones (2) - these are the smallest bones of the facial skeleton, roughly the size a fingernail. They each have a groove for the nasolacrimal duct.
- Nasal Bones (2) - these form the bony root of the nose.
- Palatine Bones (2) - these form part of the hard palate of the oral cavity.
- Inferior Nasal Conchae (2) - these protrude into the nasal cavity and enhance the warming and humidification of inspired air by increasing surface area.
- Vomer Bone - this forms part of the nasal septum posteriorly.
- Maxillae (2) - these bones make up the majority of the upper facial skeleton. It forms the upper jaw, which is fixed to the cranial base. It also forms part of the hard palate.
- Mandible - this U-shaped bone forms the lower jaw. It is moveable as it articulates with the cranial base at the temporomandibular joint (TMJ).

Diagram - Osteology of the viscerocranium
Public Domain Source by العربيَّة [Public domain]
The calvaria is the roof of the neurocranium. It comprises 4 bones: frontal, occipital and two parietal bones.
The bones of the calvaria are joined by sutures. Important suture lines to note are:
- Coronal Suture - joins the frontal bone with the two parietal bones.
- Sagittal Suture - joins the two parietal bones in the midline.
- Lambdoid Suture - joins the occipital bone to the two parietal bones.

Diagram - Sutures of the skull: 1) Coronal; 2) Sagittal; 3) Lambdoid
Public Domain Source by Julius Kollmann [Public domain]
In infants, the skull is immature, leaving membranous gaps between ossified bone. This permits enlargement of the skull in line with the growth of the brain. These unossified areas are termed fontanelles: there is an anterior fontanelle and posterior fontanelle. These fontanelles typically fuse at 18-24 months and 1-3 months, respectively.
The areas of the adult skull which correspond to the previous locations of the anterior and posterior fontanelles are called bregma and lambda, respectively.

Diagram - The anterior and posterior fontanelles
Creative commons source by BruceBlaus, edited by Dr. Joshua Bray [CC BY-SA 4.0 (https://creativecommons.org/licenses/by-sa/4.0)]
The bone of the calvaria is arranged in 3 layers:
- Inner Table - the innermost layer of cortical bone.
- Diploe - the middle layer composed of spongy bone.
- Outer Table - the outermost layer of cortical.
This trilaminar arrangement ensures adequate protective strength without excessive weight.
The outer table of bone is covered with periosteum (connective tissue), which is bound to the suture line. The inner table is lined by the dura mater (endosteal layer), which is continuous across the cranial cavity.
The cranial floor is the inferior portion of the neurocranium which the brain rests upon. It is formed by parts of the frontal, ethmoid, sphenoid, temporal and occipital bones.
The cranial floor is anatomically divided into three depressions known as the cranial fossae:
- Anterior Cranial Fossa - bound posteriorly by the lesser wings of the sphenoid. Its floor consists of the frontal, ethmoid and sphenoid bone. It holds the frontal lobe of the brain. The ethmoid bone has a projection called the crista galli, which serves as an attachment for the falx cerebri.
- Middle Cranial Fossa - bound anteriorly by the lesser wings of the sphenoid and posteriorly by the petrous part of the temporal bones. Its floor consists of the sphenoid and temporal bones. It holds the temporal lobes of the brain. The sphenoid bone has a saddle-shaped depression called the sella turcica, which holds the pituitary gland.
- Posterior Cranial Fossa - bound anteriorly by the petrous part of the temporal bones. Its floor is made up of the temporal and occipital bone. It accommodates the brainstem and cerebellum.

Diagram - The cranial fossae
Creative commons source by Anatomist90, edited by Dr. Joshua Bray [CC BY-SA 4.0 (https://creativecommons.org/licenses/by-sa/4.0)]
The cranial floor contains a series of canals, foramina and fissures which transmit important structures such as arteries, veins and nerves. These are summarised in the table below:

Table - Summary of the cranial foramina and their contents
SimpleMed original by Dr. Joshua Bray

Diagram - Openings of the cranial floor
Creative commons source by OpenStax College, edited by Dr. Joshua Bray [CC BY-SA 4.0 (https://creativecommons.org/licenses/by-sa/4.0)]
For more information about the cranial nerves, check out our articles: Cranial Nerves I-VI and Cranial Nerves VII-XII.
The skull is a very strong structure and so skull fractures require significant blunt trauma or a penetrating injury.
Fractures of the cranial vault can be either linear or depressed:
- Linear - a full thickness crack in the bone. There are often multiple fracture lines radiating from the site of injury.
- Depressed - fracture of the skull where the bony fragments displace inwards, resulting in an indentation. These fractures are more likely to result in brain injury.
The thinnest area of bone is located on the lateral aspect of the skull and is known as the pterion. Anatomically it is defined as the junction between the frontal, parietal, temporal, and sphenoid bones. Closely underlying the pterion is the middle meningeal artery. Therefore, blunt trauma to the lateral head can fracture the pterion and shear the middle meningeal artery, resulting in an extradural haemorrhage.

Diagram - Skull with the pterion circled
Public Domain Source by LadyofHats Mariana Ruiz Villarreal, edited by Dr. Joshua Bray [Public domain]
Fractures of the cranial floor (basal skull fractures) are rare but must not be missed. They classically present with very specific signs:
- CSF Rhinorrhoea - fracture of the cribriform plate of the ethmoid bone can cause cerebrospinal fluid (CSF) to leak into the nasal cavity.
- Periorbital Ecchymoses (‘Raccoon Eyes’) - fracture of the anterior cranial fossa causes blood to enter the orbit and collect in the periorbital tissue.
- CSF Otorrhoea - fracture through the petrous part of the temporal bone can cause CSF to leak into the middle ear and into the ear canal.
- Haemotympanum - fracture through the petrous bone can cause blood to collect in the middle ear.
- Battle’s Sign - fracture through the petrous bone can result in bruising around the mastoid process.
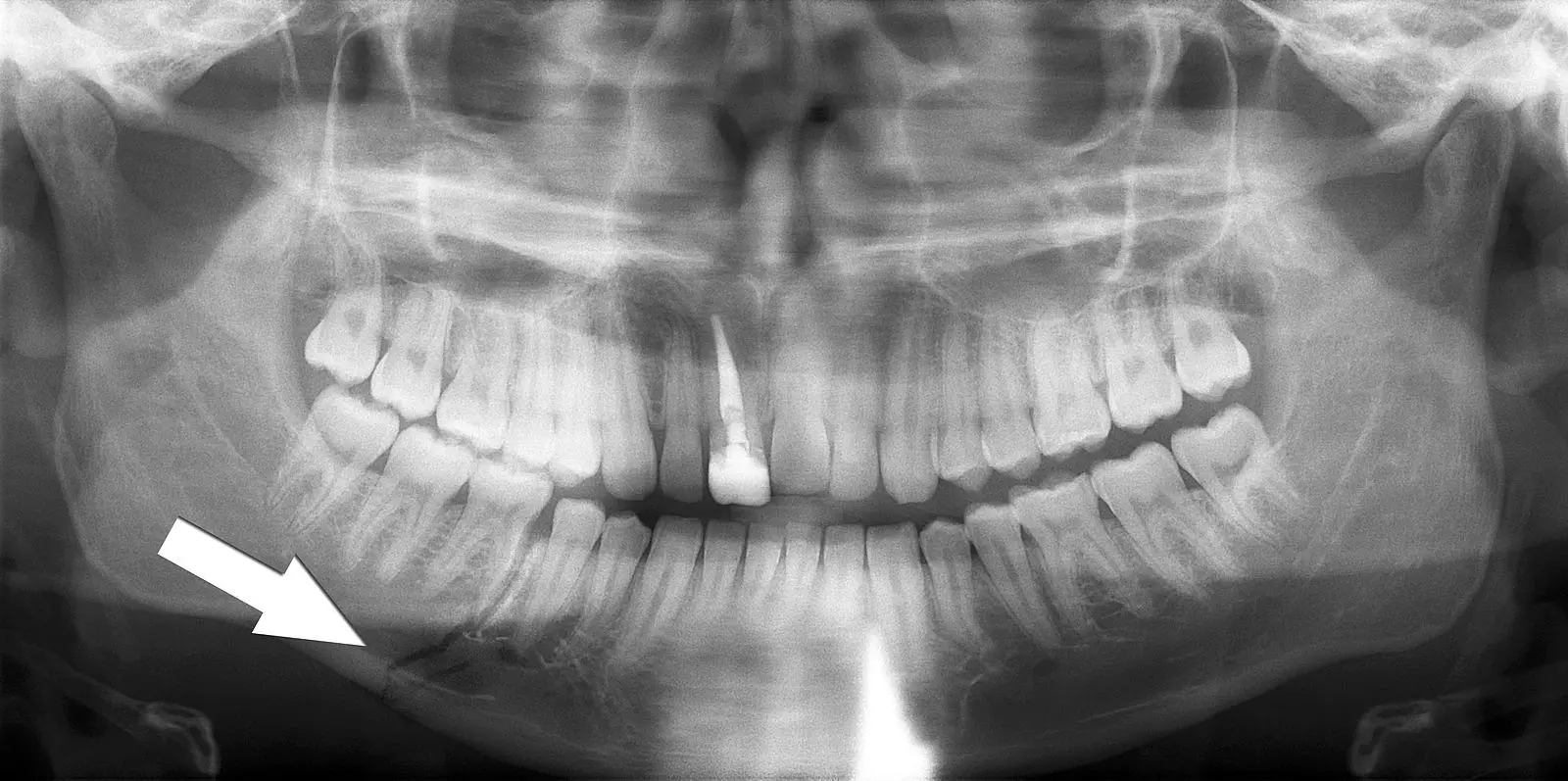
Fractures of the facial skeleton are common. The nasal bones are most susceptible due to their prominent nature on the face. The zygomatic arches and mandible are also commonly affected. The mandible is commonly fractured at more than one site due to its ring-like structure, often involving two fracture points.

Image - Orthopantomogram showing a fracture through the body of the mandible (indicated by the white arrow)
Creative commons source by Coronation Dental Specialty Group [CC BY-SA 4.0 (https://creativecommons.org/licenses/by-sa/4.0)]
Reviewed by: Dr. Thomas Burnell
- 6990

