Next Lesson - Conditions of the Lower Leg
Core
Want more information on anatomy before you begin looking at conditions? Head to our articles on Bones of the Foot, Bones of the Lower Limb and Muscles of the Lower Leg for more information!
Normally the talus bone sits firmly in a mortise made up of both the medial (tibia) and lateral (fibula) malleoli.
This leads to characteristic patterns of ankle fracture depending on the direction and rotation of the applied force:
- Eversion/external rotation of the ankle injury - this is where the lateral malleolus is fractured (due to the compression forces during forceful eversion of the ankle), which then pulls on the medial/deltoid ligament of the ankle, which can then cause medial/deltoid ligament rupture and/or a bimalleolar fracture.
- Inversion/internal rotation of the ankle injury - this is where the medial malleolus is fractured, which then pulls on the lateral side of the ankle, causing the lateral ligament rupture and/or a bimalleolar fracture.

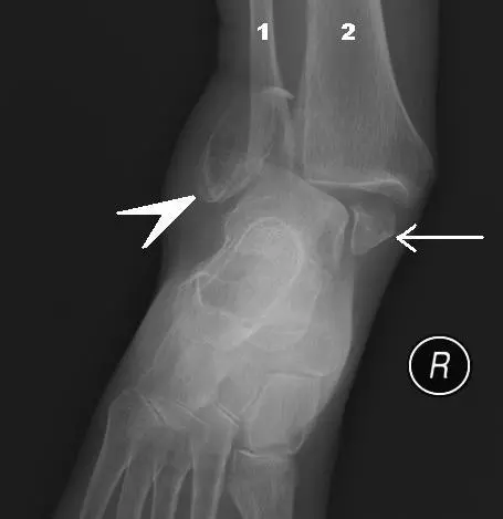
Diagram - X-ray of fracture of the lateral and medial malleoli. A fracture of both the lateral and medial malleoluses is known as a bimalleolar fracture
Creative commons source by Steven Fruitsmaak [CC BY-SA 4.0 (https://creativecommons.org/licenses/by-sa/4.0)]
Bimalleolar (medial and lateral malleoli) and trimalleolar (medial and lateral malleoli and posterior aspect of the tibia) fractures are commonly described by the malleoli involved. The historical term Pott's fracture is variably defined and is used less often in modern practice. Pott’s fractures are far more common than fracturing a single malleolus because of the ligaments that secure the mortise of the ankle joint. A force applied in one direction often cause ligamentous damage on the other side of the ankle due to talar shift, which can cause a fracture at the attachments of the ligaments.
Ankle fractures are diagnosed using x-rays. Treatment depends on whether the fracture is stable (can weight bear safely) or unstable. Stable fractures require a cast/boot (mainly for comfort) and have a very low rate of complications or arthritis. Unstable fractures require surgical stabilisation, and this can be high risk, especially in patients with diabetes or reduced blood supply.
An ankle sprain is a partial or complete tear of one or more of the ankle ligaments. The mode of injury is usually excessive external rotation, eversion or inversion of the ankle.
The most common of these is an inversion injury of a plantar-flexed and weight bearing ankle (e.g. rolling the ankle in when running), which leads to an anterior talofibular ligament sprain.
In a severe sprain, it is possible to get a secondary complication of a 5th metatarsal avulsion (injury to the bone in a location where a tendon or ligament attaches to the bone) fracture, caused by the pull of fibularis brevis or tertius. The vast majority (around 90%) of ankle sprains heal with conservative management over time. A minority develop ongoing symptoms due to chronic ankle instability or persistent ligament injury, which require further assessment.
This refers to pain and dysfunction of the Achilles tendon (the combined tendon of the soleus and gastrocnemius muscles that inserts into the calcaneus), most commonly due to tendinopathy rather than ongoing inflammation.
Common causes of Achilles tendinitis include:
- Over-training or unaccustomed use - “too much too soon”.
- A sudden change in training surface - e.g. grass to bitumen.
- Flat (overpronated) feet.
Achilles tendinitis can be divided into 2 types:
- Non-insertional tendinitis (involves fibres of the middle portion of the tendon) - which occurs most commonly in young active people
- Insertional tendinitis (involves fibres at the point of insertion to calcaneus) - which can occur at any age
Patients present with pain and stiffness at the back of the ankle that worsens with activity, and thickening of the tendon.
Treatment is easily remembered by the mnemonic RICE:
- Rest
- Ice
- Compression
- Elevation
The act of tearing the Achilles tendon.
This is most common in middle aged people (especially those with pre-existing tendinitis) and often occurs during recreational sport - this group of people can often be referred to as ‘weekend warriors’. However, it is important to remember that it can occur at any age.
A complete tear is more common than a partial tear and patients often experience sudden pain and a popping/snapping sensation. They present with pain, swelling and a palpable gap in the tendon.
Diagnosis is done using the Simmonds-Thompson test - the patient is asked to lie face down on the bed with their feet hanging off the edge, then their calf is squeezed towards the knee. If their Achilles tendon is intact there will be movement of the foot at the ankle; this will not occur at all if the tendon is completely torn and will be weak if the tendon is partially torn. Ultrasound/MRI scans can be used to view the tendon also.
Treatment is usually non-surgical and a cast or walking boot (used to keep the ankle plantarflexed for the first few weeks) and rest is advised. If surgical intervention is required, the procedure generally involves making an incision in the back of the lower leg and stitching the torn tendon together. Physical therapy follows either treatment, and it can take many months to heal.
Reviewed by: Dr. Marcus Judge
- 6664

