Next Lesson - Cranial Nerves I-VI
Abstract
- The meninges consist of three membranes: dura, arachnoid and pia mater.
- The dura has two layers: periosteal and meningeal.
- The two layers of dura occasionally separate to form dural venous sinuses, while reflections of the meningeal layer form dural folds.
- Important dural folds to know are the falx cerebri and tentorium cerebelli.
- The dural venous sinuses drain into the internal jugular vein.
- Intracranial haemorrhages can be extradural, subdural, subarachnoid or intracerebral.
- Extradural haemorrhages arise from a meningeal artery, particularly the middle meningeal artery.
- Subdural haemorrhages arise from bridging veins.
Core
The meninges are a series of connective tissue membranes which encapsulate the brain and spinal cord. They act as a supportive framework for the brain and create a space to hold the cerebrospinal fluid (CSF).
The meninges consist of three membranes:
- Dura Mater - the outermost thick, fibrous layer.
- Arachnoid Mater - a thinner intermediate layer.
- Pia Mater - a very thin and delicate layer, which is closely adhered to the grey matter of the brain.

Diagram - Layers of the meninges
Creative commons source by SVG by Mysid, original by SEER Development Team [1], Jmarchn [CC BY-SA 4.0 (https://creativecommons.org/licenses/by-sa/4.0)]
Between the meningeal layers are two spaces:
- Subdural Space - a potential space between the meningeal dura and arachnoid mater. The subdural space is normally empty.
- Subarachnoid Space - the space between the arachnoid and pia mater. This space is filled with CSF and contains the cerebral vessels.
The dura mater has two layers:
- Periosteal Dura - the outer layer of dura, adhered to the inner table of bone. It is synonymous with the periosteum.
- Meningeal Dura - the inner layer of dura, adjacent to the arachnoid mater.
In most parts, these two layers of dura are closely adhered to each other. However, there are some places where these layers separate, giving rise to dural folds and dural venous sinuses.
In some places, the meningeal dura reflects inwards and fuses to form dural folds. These are tough fibrous sheets which divide the cranial cavity into rigid compartments.
Important dural folds to note are:
- Falx Cerebri - runs within the longitudinal fissure of the brain to separate the cranial cavity in the sagittal plane. It attaches anteriorly to the crista galli of the ethmoid bone and posteriorly to the superior surface of the tentorium cerebelli.
- Tentorium Cerebelli - separates the occipital lobes and cerebellum. It runs in the transverse plane and is tented due to the attachment of the falx cerebri.

Diagram - Anatomical prosection showing the falx cerebri and tentorium cerebelli
Creative commons source by Rabjot Rai, Joe Iwanaga , Gaffar Shokouhi, Rod J. Oskouian, R. Shane Tubbs [CC BY-SA 4.0 (https://creativecommons.org/licenses/by-sa/4.0)]
In some places, the periosteal and meningeal dura separate to form spaces which are filled with venous blood. These are called dural venous sinuses. These sinuses receive blood from the cerebral veins and eventually drain into the internal jugular vein.

Diagram - Schematic in the transverse plane showing the dural venous sinuses
Creative commons source by Wieslaw L. Nowinski, Thant S. L. Thaung [CC BY-SA 4.0 (https://creativecommons.org/licenses/by-sa/4.0)]
The dural venous sinuses receive blood from:
- Bridging Veins - veins which drain blood from the cerebral veins. These traverse the subdural space.
- Emissary Veins - these veins connect the scalp veins to the venous sinuses, travelling through the cranial vault.
For more information, check out our article on Blood Supply of the Head and Neck.
Head trauma can shear blood vessels, resulting in bleeding and the accumulation of blood between meningeal layers. These include extradural, subdural and subarachnoid haemorrhages.
Bleeding can also occur within the brain itself. This is an intracerebral haemorrhage, otherwise known as a haemorrhagic stroke.
An extradural haemorrhage arises from one of the meningeal arteries, particularly the middle meningeal artery. Blood accumulates between the periosteal dura and inner table of bone. This bleed is confined to the suture lines. Its CT appearance is a biconvex (lentiform) area of hyperdensity.

Image - Axial head CT showing an extradural haemorrhage (indicated by the red arrow)
Creative commons source by James Heilman, MD [CC BY-SA 4.0 (https://creativecommons.org/licenses/by-sa/4.0)]
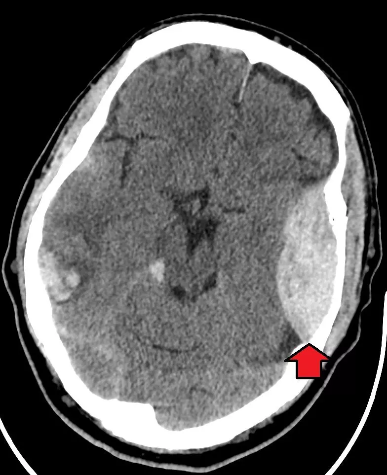
A subdural haemorrhage arises from the bridging veins. Blood accumulates within the subdural space. The risk of subdural haemorrhage increases in the elderly due to cerebral atrophy, which increases the tension of the bridging veins, making them more fragile. Subdural bleeds can be acute or chronic. On CT these bleeds are crescent-shaped - acute bleeds appear hyperdense whereas chronic bleeds appear hypodense.

Image - Axial head CT showing an acute subdural haematoma (indicated by the red arrow)
Creative commons source by James Heilman, MD [CC BY-SA 4.0 (https://creativecommons.org/licenses/by-sa/4.0)]
A subarachnoid haemorrhage arises from one of the cerebral arteries. These are sudden and can be life-threatening. For more information, check out our article on Subarachnoid Haemorrhage.
Reviewed by: Dr. Thomas Burnell
- 6126

