Next Lesson - Conditions of the Knee
Core
Want more information on anatomy before you begin looking at conditions? Head to our articles on Bones of the Lower Limb and Muscles of the Lower Leg for more information!
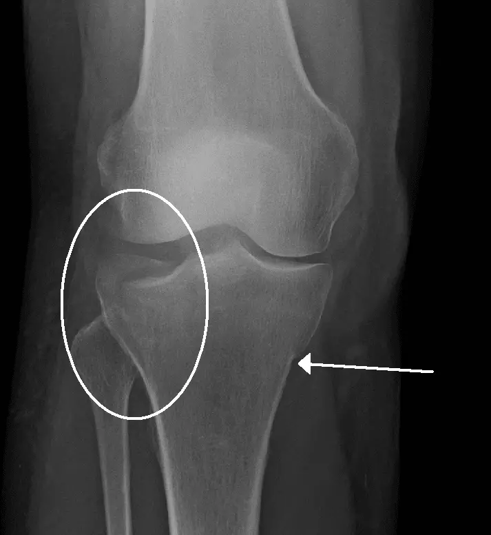
A tibial plateau fracture is a fracture to the articulating surface of the tibia that is involved in the knee joint. It can be unicondylar or bicondylar, but it is the lateral tibial condyle that is most commonly affected. The injury usually occurs due to a varus or valgus load on the knee joint. Tibial plateau fractures present with pain, inflammation and reduced mobility of the knee joint. This injury can be associated with anterior cruciate ligament (ACL) or meniscal tears. Complications may include damage to the popliteal artery or tibial/common fibular nerve, and compartment syndrome. Diagnosis is initially made with an X-ray, with CT often used to further define the fracture pattern, and treatment may involve surgery and/or splinting.

Image - X-ray Showing a Tibial Plateau Fracture
Creative commons source by James Heilman, MD [CC BY-SA 4.0 (https://creativecommons.org/licenses/by-sa/4.0)]
Compartment syndrome is increased pressure in a compartment delineated by fascia that can cause damage to vessels and nerves, and commonly occurs in the lower leg. It presents with severe limb pain that is deep, poorly localised, not relieved with analgesia, and worsened by passive stretch; a swollen and firm limb; and shiny skin over the compartment. Complications include ischaemia leading to paraesthesia/paralysis. Treatment is a fasciotomy (a surgical procedure where a compartment is cut into, in order to relieve pressure) and skin graft and is urgent to prevent the aforementioned complications. If it is not treated, complications can lead to the need for amputation.

Image - Surgical Fasciotomy
Creative commons source by آرمین [CC BY-SA 4.0 (https://creativecommons.org/licenses/by-sa/4.0)]
Common Peroneal/Fibular Nerve Injury
Injury to the peroneal/fibular nerve is relatively common. The common peroneal nerve is a branch of the sciatic nerve that arises in the popliteal fossa. It supplies motor innervation to the lateral and anterior compartments of the leg (and the short head of the biceps femoris) and sensory innervation to the anterolateral leg and the dorsum of the foot. This injury presents with foot drop (when the leg is lifted, the foot drops into plantarflexion, making it difficult to walk) with inversion of the ankle and paraesthesia of the anterolateral leg and dorsum of the foot.
Injury to the tibial nerve is relatively uncommon (compared to injury to the common peroneal nerve). The tibial nerve is a branch of the sciatic nerve that arises in the popliteal fossa. It supplies motor innervation to the posterior compartment of the leg and sensory innervation to the posterolateral side of the leg, lateral side of the foot and the sole of the foot. Therefore, when injured, the most common presentation is calcaneovalgus posture (dorsiflexed foot with lateral deviation), inability to stand on tiptoe (due to paralysis in the posterior calf muscles) and loss of sensation in the previously mentioned areas.
Reviewed by: Dr. Marcus Judge
Edited by: Dr. Maddie Swannack
- 6569

